Y tế - Sức khỏe
Hoa thiên lý: Bài thuốc quý từ dân gian, không phải ai cũng biết
Hoa thiên lý, hay còn có các tên gọi khác là dạ lài hương, cây hoa lý. Là thực phẩm ngon, hoa thiên lý còn được xem như một loại dược liệu tốt cho sức khoẻ.
Điệp khúc 'hết vật tư y tế' làm khốn khổ ngoại tôi
Từ trường hợp của bà ngoại, bạn đọc Trịnh Kỳ An cho rằng điệp khúc 'hết vật tư y tế' đã làm khổ biết bao bệnh nhân. Đã đến lúc cần phải khắc phục tình trạng này để giúp người bệnh có đủ điều kiện thuốc men và chữa bệnh phù hợp.
Đột quỵ đang trẻ hóa
Đột quỵ là bệnh lý cấp tính nguy hiểm, thường xảy ra đột ngột, có tỉ lệ tử vong cao nếu không phát hiện sớm và điều trị kịp thời. Mỗi năm ở Việt Nam có hơn 200.000 người bị đột quỵ. Đáng lo ngại, đột quỵ đang có dấu hiệu ngày càng trẻ hóa, gia tăng mạnh từ 40 - 45 tuổi, thậm chí xuất hiện cả ở tuổi 20.
Sức khỏe các lao động Việt Nam chạy khỏi casino ở Campuchia ra sao?
Các công dân Việt Nam tháo chạy từ cơ sở kinh doanh đánh bạc trực tuyến tại thành phố Bavet, Campuchia đều đang được bảo vệ và chăm sóc tốt.
Bệnh cũ, chủng cũ nhưng dịch vi rút adeno liên tục tăng sau COVID-19
Mặc dù là chứng bệnh rất cũ, chủng vi rút cũng cũ, nhưng những ngày gần đây số trẻ em mắc vi rút adeno liên tục gia tăng, tại Bệnh viện Nhi trung ương đã có sáu trẻ tử vong. Các chuyên gia cảnh báo có thể xuất hiện dịch do vi rút adeno.
Hai bệnh viện nghìn tỷ chậm tiến độ: Thủ tướng yêu cầu lập tổ công tác tháo gỡ vướng mắc
Ngày 18/9, Thủ tướng Chính phủ Phạm Minh Chính khảo sát hiện trường để tháo gỡ khó khăn, vướng mắc cho các dự án xây dựng bệnh viện lớn trên địa bàn tỉnh Hà Nam. Tại đây, Thủ tướng yêu cầu thành lập tổ công tác do lãnh đạo Bộ Y tế làm Tổ trưởng để sớm đưa Bệnh viện Bạch Mai và Bệnh viện Hữu nghị Việt Đức cơ sở 2 ở Hà Nam vào hoạt động.
NÓI THẲNG: Rắn ngậm phong bì - hãy thôi xúc phạm, vô ơn!
Cơ quan chức năng cần sớm vào cuộc, điều tra làm rõ, xử lý nghiêm minh những ai liên quan đến câu chuyện rắn ngậm phong bì.
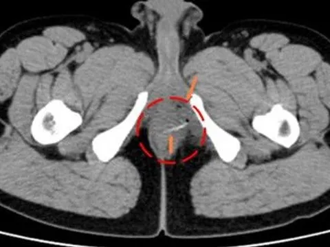
Ớn hình ảnh xương cá chắn ngang hậu môn
Một người đàn ông đi khám sức khỏe định kỳ được bác sĩ phát hiện xương cá đâm ngang trực tràng hậu môn sau khi chụp CT toàn thân.
4 cách ăn quen thuộc này có thể là lý do bạn tăng cân khó hiểu
(NLĐO) - Một số cách ăn có thể vô tình tạo ra những lựa chọn hoặc tác động tâm lý khiến bạn ăn nhiều hơn, ăn thứ dễ làm tăng cân hơn mà có khi chính bạn cũng không hay.
Da đầu trắng xóa kỳ lạ sau khi nhuộm tóc: Bác sĩ chỉ ra nguyên nhân không ngờ tới
Sau một lần nhuộm tóc, da đầu của người đàn ông 60 tuổi bỗng trở nên trắng xóa nhưng không gây cảm giác khó chịu. Khi đi khám, bác sĩ chỉ ra nguyên nhân bất ngờ.
Sau bữa tiết canh lòng lợn, người đàn ông phải đi cấp cứu gấp
Sau khi ăn tiết canh, lòng lợn tại một quán ăn ở Hà Nội. Hai ngày sau, người đàn ông U50 bất ngờ xuất hiện tình trạng sốt cao phải nhập viện.
Vì sao 67 trạm y tế ở TP.HCM không có trưởng, phó trạm?
TP.HCM có 310 trạm y tế nhưng hiện chỉ có 243 trưởng và phó trạm y tế. Điều này được xem là nghịch lý và theo nhiều chuyên gia có thể ảnh hưởng trực tiếp đến việc quản lý, điều hành các chương trình chăm sóc sức khỏe ban đầu cho người dân.
Sốc phản vệ nặng sau khi ăn cua biển
Sau khi ăn cua biển, nữ bệnh nhân bắt đầu xuất hiện nổi đỏ trên da, ngứa.
9.680 nhân viên y tế nghỉ việc trong 6 tháng: Bộ Y tế chỉ ra 4 nguyên nhân chính
Số liệu thống kê của Bộ Y tế từ ngày 1-1-2021 đến 30-6-2022 cho thấy có 9.680 nhân viên y tế xin thôi việc hoặc bỏ việc. Trong đó có 3.094 bác sĩ, 2.874 điều dưỡng, 551 kỹ thuật y, 276 hộ sinh, 593 dược, 2.280 viên chức khác.